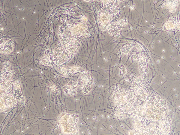
活性汚泥診断

フロック比率: 良 6 :悪 4 下段
×100倍
活性汚泥フロックは活性が落ちて糸状細菌が多く発生しています。
汚泥濃度が急激に低下した結果負荷に活性汚泥フロックが負けて、糸状細菌の発生に繋がっております。
汚泥濃度 5900ppm
濾過指数 712ポイント

暗視野画像
水層部は粘性分散菌が多く浮遊しています。

×100倍
確実に汚泥濃度の変化に依り、糸状細菌が発生しています。
micrthrixと云う糸状細菌です。
発生条件は、汚泥濃度が低く酸欠相条件下で発生します。曝気槽で発泡しスカムを生成します。

×100倍
ミクロスリックスの勢力が強く、沈降性が悪く成ります。

×200倍
粘性フロックと糸状細菌が多く観察出来ます。

×200倍
勢力が強い糸状細菌です。
対策:汚泥濃度を上げる糸状性細菌対策として
ベストーNの投与
「ラパントJA2の投与
